CURSO 1
CURSO INTENSIVO DE DIAGNÓSTICO POR IMAGEN 360º EN EL PACIENTE FELINO
GILIOLA SPATTINI
RAQUEL SALGUERO
Sábado, 4 de Noviembre 2023
Ver los Detalles del Curso 1 >
Conoce de forma detallada cada uno de los programas de los diferentes tipos Cursos que compone la Feline Trilogy (Curso Diagnóstico por Imagen 360º, Curso de Patologías Hematológicas y Curso de Medicina de Urgencias y Cuidados Críticos en el Paciente Felino).
CURSO 1
CURSO INTENSIVO DE DIAGNÓSTICO POR IMAGEN 360º EN EL PACIENTE FELINO
GILIOLA SPATTINI
RAQUEL SALGUERO
Sábado, 4 de Noviembre 2023
Ver los Detalles del Curso 1 >CURSO 2
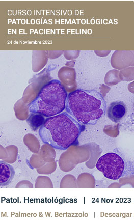
CURSO DE PATOLOGÍAS HEMATOLÓGICAS EN EL PACIENTE FELINO
MARISA PALMERO
WALTER BERTAZZOLO
Sábado, 24 de Noviembre 2023
Ver los Detalles del Curso 2 >CURSO 3
CURSO INTENSIVO DE MEDICINA DE URGENCIAS EN EL PACIENTE FELINO
LUIS BOSCH
CHIARA VALTOLINA
Sábado, 17 de Febrero 2024
Ver los Detalles del Curso 3 >Conoce de forma detallada cada uno de los programas de los 3 Cursos así como el Programa Genérico del Pack con los 3 Cursos
Descárgate el Programa de los Cursos Presenciales y en Streaming de la Feline International Trilogy (Curso de Diagnóstico por Imagen 360º en el Paciente Felino, Curso de Patologías Hematológicas en el Paciente Felino y Curso de Medicina de Urgencias y Cuidados Críticos en el Paciente Felino).